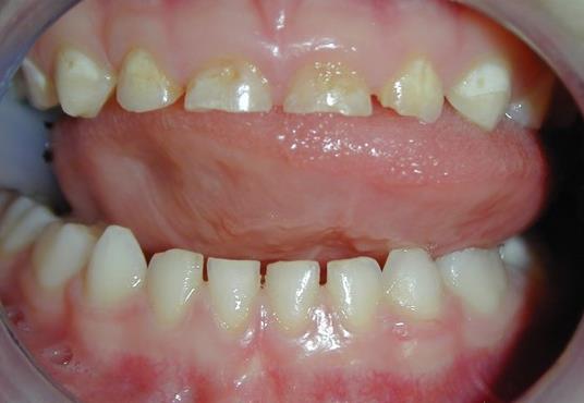
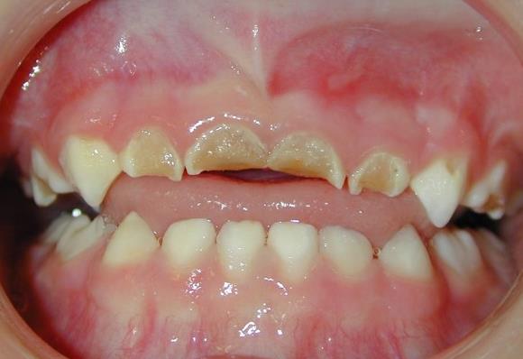
CARIES CONTAMINATION
Caries is an oral disease where bacteria destroy teeth by causing dental cavities.
Streptococcus mutans bacteria are considered to be a primary cause of caries.
CONTAMINATION
Dental cavities can form easily if a parent transmits Streptococcus mutans bacteria to a child via saliva contamination.
The most common cases for bacteria transmission to a child are when a person (parents / grand parents / siblings) use the same spoon for tasting food and feeding children,
when parents kiss child's lips, or when parents lick a soother to make sure it is 'clean'.
Obviously, such bacterial contamination possesses danger only when the teeth start to erupt after
the age of a half year
Here is an example of how caries contamination may proceed.

PICTURE: Heikki Alapulli
PREVENTION
Initial caries can be prevented by following a healthy diet and by taking care of oral hygiene.
Regular teeth brushing with fluoride toothpaste can stop initial caries from progressing into a tooth cavity.

PICTURE: Heikki Alapulli
